3900 Park Avenue, Suite 104,
Edison, NJ 08820
Tel: (732) 516-1999

231 Millburn Avenue,
Millburn, NJ 07041
Tel: (973) 376-0496

381 Chestnut Street,
Union, NJ 07083
Tel: (908) 687-3221

google+ blog youtube facebook yelp
Patient Login

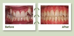
BEFORE & AFTER

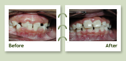
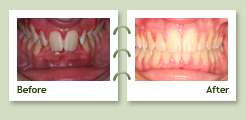
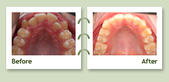
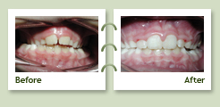
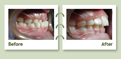
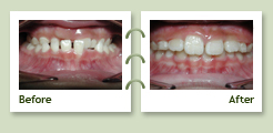
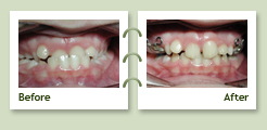
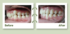
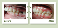
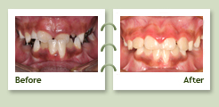
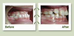
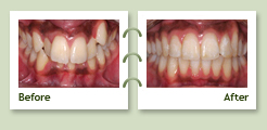
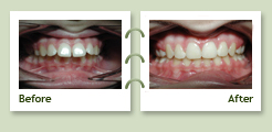
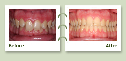
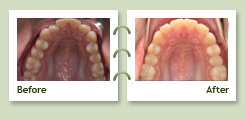
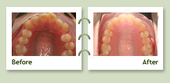
Dr. Chung has over a decade of experience in orthodontics. He has treated thousands of patients. Here are a few examples of Dr. Chung's cases.

Full Comprehensive Braces (18-24 months of treatment)
Before & After Before & After Before & After

 

Phase I Limited Treatment (may require braces later)

 

Home | Our Office | For New Patients | About Orthodontics | Invisalign
Braces | Orthodontic Treatment | First Aid | Contest & Events | Contact Us | Site Map

Edison Office: 3900 Park Avenue, Suite 104, Edison, NJ 08820 Tel: (732) 516-1999
Millburn Office: 231 Millburn Avenue, Millburn, NJ 07041 Tel: (973) 376-0496
Union Office: 381 Chestnut Street, Union, NJ 07083 Tel: (908) 687-3221
appointment